设为首页 加入收藏
 
产品中心  
联系方式  

电话:+86-10-85802188
传真:+86-10-85802199
销售人员:
潘子英 手机:13810988271
张立民 手机:13810992961
E_mail:beauty@taiwei.com
地址:北京市朝阳区建国路88号SOHO现代城B座1209

 
 
 
产品介绍 >> 生活美容耗材 给我留言
   
点击放大
Ellipse中文名伊力普斯
设备主要特点:
1、         双重滤波技术:波长范围400—950nm,滤掉了400以下对皮肤有害的紫外波长和950以上易被皮肤组织中的水分吸收的红外波长,从而减少了皮肤灼伤,更加安全。其它光子设备的波长范围更大,一般在400—1200,不能避免灼伤的状况。
2、         矩形方波技术:持续稳定的矩形脉冲方波,保证了能量的稳定,从一定程度了节省了能量的浪费,这是ELLIPSE使用的能量值小于其它光子设备,能达到同样效果的原因;同时这能最大限度保证有效能量的最大利用,避免了无效的或者对皮肤可能造成损伤的能量使用,这也是ELLIPSE比其它光子设备更加安全有效的重要原因。
3、         一机多能、治疗范围广泛,具有多个独立的治疗头、综合解决皮肤问题
 
治疗
1、永久快速脱毛
原理:利用毛根的毛囊中黑色素对光的吸收,光能转化为热能,70度的热作用超过1毫秒时,可以使毛囊细胞变性坏死。毛发生长分生长期、休眠期、退行期,处于休眠期和退行期的毛发等处于生长期时再一次处理就可以达到永久脱毛的效果。
2、除皱嫩肤
原理:特殊波长的能量作用于皮肤真皮层,可以产生更多的胶原质,促进胶原蛋白和弹性纤维的增生和有序排列,从而改善皮肤弹性、祛除皱纹,达到嫩肤效果,只有特殊波长的复合彩光工作平台才具备这样独特的嫩肤功效。
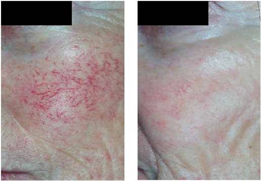
3、  血管性病变
原理:血管中的血红蛋白吸收了特殊波长的能量,血管壁的蛋白质遇热,变性坏死,从而使病变血管被封闭直至消失。
 

4、  痤疮

原理:通过选择性的光热作用,减少了痤疮厌氧杆菌的繁殖,从而减轻了痤疮发炎的红肿热痛的症状,同时,可以抑制皮脂腺的分泌,从根本上达到治疗痤疮的目的。
5、  治疗皮肤色素性病变
黑色素细胞产生黑素体,通过宽光谱输出的能量作用于色素细胞,使色素颗粒及痣细胞汽化、碎裂并被巨噬细胞吞噬,后经体内吸收、排出、以达到治疗的目的。